Dental Implant Bangalore

Book Appointment

Book Appointment

perfect smileHow Do Dentists Decide If You Need a Root Canal?

Dentist evaluating whether a root canal is needed

How Do Dentists Decide If You Need a Root Canal?

Tooth pain can be confusing. Sometimes it’s mild and goes away, while other times it becomes severe and unbearable. If you’ve been told you might need a root canal treatment, you may wonder—how do dentists actually decide this?

Understanding the decision-making process can help you take timely action and avoid complications. In this blog, we’ll explain how dentists evaluate your condition and determine whether root canal treatment in Bangalore is necessary.

What Is Root Canal Treatment?

Root canal treatment (RCT) is a dental procedure used to remove infected or damaged pulp (the soft tissue inside your tooth). The area is cleaned, disinfected, and sealed to save the natural tooth.

It is often recommended when the inner pulp becomes inflamed or infected due to deep decay, cracks, or trauma.

Root canal diagnosis and treatment process

Common Symptoms That Signal You May Need a Root Canal

Dentists first assess your symptoms before recommending root canal treatment. Some common warning signs include:

  • Persistent tooth pain
  • Sensitivity to hot and cold that lingers
  • Pain while chewing or biting
  • Swollen or tender gums
  • Darkening of the tooth
  • Pus or abscess around the tooth

If you’re experiencing these symptoms, it may indicate that the infection has reached the pulp, requiring RCT treatment.

Step-by-Step: How Dentists Decide If You Need a Root Canal

1. Detailed Consultation & Medical History

Your dentist will begin by asking about your symptoms:

  • When did the pain start?
  • Is it constant or occasional?
  • Does it worsen while eating?

This helps determine whether your issue is reversible (can be treated with a filling) or requires root canal treatment in Bangalore.

2. Physical Examination

The dentist will examine your tooth and surrounding gums to check for:

  • Visible decay
  • Cracks or fractures
  • Swelling or infection

They may tap on your tooth to identify pain response, which indicates nerve involvement.

3. Sensitivity Tests

A cold or heat test is often performed to check pulp health.

  • If the pain disappears quickly - pulp is likely healthy
  • If the pain lingers - possible pulp damage - root canal treatment needed

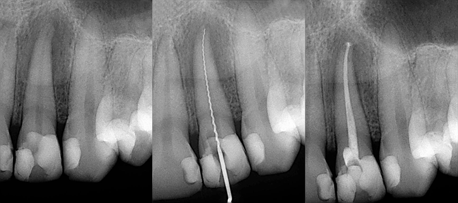
4. Dental X-Rays (Most Important Step)

X-rays play a crucial role in diagnosing the need for RCT treatment. They help dentists see:

  • Infection at the root tip
  • Bone loss around the tooth
  • Deep cavities reaching the pulp

If the infection is visible on an X-ray, root canal treatment in Bangalore is usually necessary.

Dental X-ray used to decide root canal treatment

5. Checking for Abscess or Infection

If there is pus formation or swelling, it indicates a serious infection. In such cases, saving the tooth with root canal treatment is often the best option instead of extraction.

6. Final Diagnosis: Save or Remove the Tooth?

After evaluating all factors, the dentist decides:

  • If the tooth can be saved - root canal treatment
  • If damage is too severe - extraction + replacement options

Dentists always try to preserve your natural tooth whenever possible.

Root Canal vs Filling - How Do Dentists Decide?

This is one of the most common questions patients ask.

Condition Treatment
Minor decay Filling
Deep decay reaching pulp Root canal treatment
Severe infection RCT treatment
Tooth beyond repair Extraction

If the nerve is affected, a simple filling won’t work—root canal treatment in Bangalore becomes necessary.

What Happens If You Delay Root Canal Treatment?

Ignoring the need for root canal treatment can lead to:

  • Severe pain and swelling
  • Spread of infection
  • Tooth loss
  • Bone damage

Delaying treatment often increases both the complexity and root canal treatment cost.

Is Root Canal Treatment Painful?

Modern dentistry has made RCT treatment virtually painless:

  • Performed under local anesthesia
  • Advanced tools ensure precision
  • Minimal discomfort during and after the procedure

In fact, the procedure relieves pain rather than causing it.

Root Canal Treatment Cost in Bangalore

The root canal treatment cost in Bangalore depends on:

  • Tooth location (front or molar)
  • Severity of infection
  • Number of sittings required
  • Use of advanced technology

Although costs may vary, it is always more affordable than losing a tooth and opting for replacement options like implants.

Dentist consultation for root canal treatment in Bangalore

Why Choose Perfect Smile for Root Canal Treatment in Bangalore?

Choosing the right dental clinic is crucial for successful treatment.

Perfect Smile is known as the best dental clinic in Bangalore for RCT in Bangalore, offering advanced and patient-friendly care.

Here’s why patients trust Perfect Smile:

  • Experienced endodontists
  • Advanced digital diagnostics & painless procedures
  • High success rate in root canal treatment
  • Affordable and transparent pricing
  • Personalized care and follow-ups

Whether you have mild pain or a severe infection, Perfect Smile ensures safe and effective root canal treatment in Bangalore.

Life After Root Canal Treatment

After a successful RCT treatment, you can:

  • Eat normally without pain
  • Preserve your natural tooth
  • Avoid further complications
  • Maintain better oral health

A crown is often placed on the treated tooth to restore strength and function.

Final Thoughts

So, how do dentists decide if you need a root canal treatment? It’s a combination of:

  • Your symptoms
  • Clinical examination
  • Sensitivity tests
  • X-ray analysis

If the pulp inside your tooth is infected or damaged, root canal treatment in Bangalore is the best way to save your natural tooth and eliminate pain.

If you’re experiencing tooth pain or sensitivity, don’t wait. Visit experts at Perfect Smile and get the right diagnosis and treatment at the right time.

Ask doctor


Rapid Responses, Right Away!

Whatsapp Now

Testimonials

Get in contact

Gowrys Complex,3rd Floor, Above Dominos Pizza,Opp. Arekere Bus Stand, Bannerghatta Road, Bangalore-560 076

9880219738 | 9168625112

psperfectsmile@gmail.com

Opening Hours

Monday - Saturday Sunday
9 am - 1 pm, 4:30pm - 7:30 pm By Appointment

Get in contact

Shop no 248 ‘B’ SOUZA VADDO Near Radisson hotel (Candolim), Bardez, Candolim, Goa 403 515

91587 94112 | 91686 25112

psperfectsmile@gmail.com

Opening Hours

Monday - Saturday Sunday
9 am - 1 pm, 4:30pm - 7:30 pm By Appointment

Call Us